-
ブログ
注意したい永久歯の生え方
・永久歯が生えるのはいつ?
年長さんになると、多くのお子さんの下の乳歯がグラグラし始めます。
乳歯は上下合わせて20本ですが、永久歯になると親知らずを除いて28本。
第二大臼歯の萌出が12~13歳頃に終わるので、長い年月をかけて生え揃っていきます。
生える時期はお子さんによって個人差がある為、生え始めが遅れていても、それほど心配する必要はありません。
ただ、歯の萌出を妨げる要因が潜んでいる事もあるため、歯科医院で定期的にレントゲンを撮ることをおすすめします。
特に萌出時期に左右の歯で差がある場合には、要注意です。

①乳歯の残存と舌側転位

永久歯が舌側から生えてくること自体は異常ではありませんが、乳歯が長くとどまる場合は注意が必要です。
乳歯の根が溶けていれば、舌側から出てきた永久歯によって押し倒されるようにして、短期間のうちに乳歯は抜け落ちます。
しかし、乳歯が長くとどまる場合は食べ物が詰まりやすく、歯磨きがしにくいといった問題がある他、永久歯の萌出スペースが小さく歯並びに悪影響を及ぼすシグナルであることも多く、注意が必要です。
②永久歯の萌出遅延

何らかの原因で永久歯がなかなか生えてこない状態を萌出遅延といいます。
永久歯の萌出の大幅な遅延により、隣にある永久歯や歯並び、噛み合わせ全体まで影響が及ぶことがあります。
そのままにしておくと、隣の永久歯の根にぶつかり、根を溶かして、歯根吸収を引き起こしてしまうこともあります。
また、永久歯の萌出遅延が長引けば、将来的に埋伏となり、歯並びや噛み合わせに大きな影響を与えます。
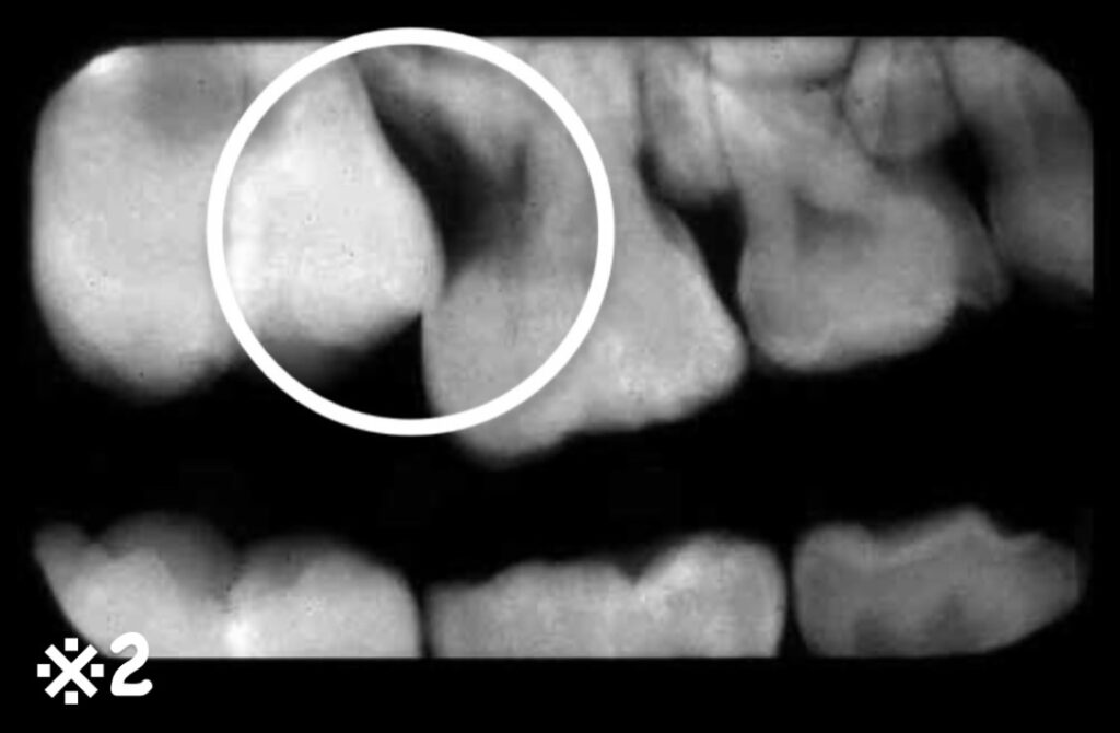
③異所萌出


歯が本来生えるべき位置から離れて出てきたり、大きく傾いたまま生えてくることを異所萌出と言います。
八重歯はまさに異所萌出です。(※1)
第1大臼歯の異所萌出も6歳以降によくみられ、レントゲン撮影で発見されることもあります。
第1大臼歯の手前にある第二乳臼歯の下にもぐりこむことによって、乳臼歯が早くに抜け落ちてしまったり、根の一部が消失してしまうことがあります。(※2)
これらは、いずれも歯並びや噛み合わせの異常につながります。
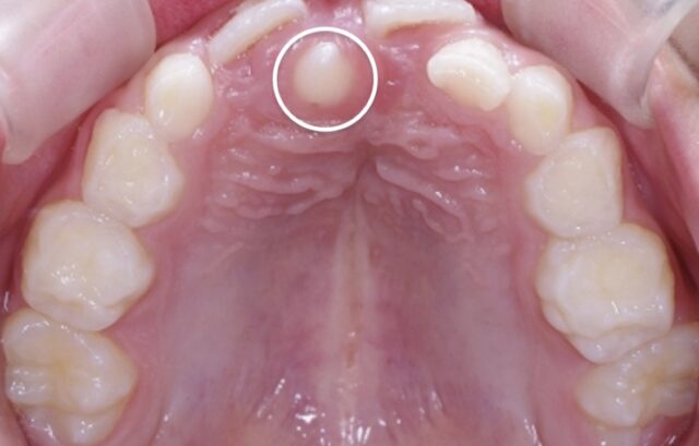
④過剰歯

過剰歯とは、正常な歯の数より多く存在する歯のことです。
上の前歯にもっともよく見られます。
乳歯の時期に発見される事が多く、その後の永久歯列に大きな影響を及ぼします。
永久歯が生えるべき場所に過剰歯が生えて来るため、スペースがなくなり歯並びや噛み合わせ、前歯が離れるなど永久歯に影響がでることがあります。
乳歯列期に過剰歯を発見してもすぐに抜歯できるとは限りませんが、早期発見が大切です。
抜歯のタイミングは❓
抜歯はできるだけ早期に行うことが望ましいですが、低年齢での抜歯は難しいため、抜歯時期を先送りすることがあります。 ただし、年齢が上がりすぎると抜歯が困難になることもある為、相談しながら対応を決めていきましょう。
⑤先天欠如

何らかの原因で顎の中に歯が形成されていない状態。
現在、約10人に1人の割合でみられることが分かっています。
1本~多数の永久歯がつくられない事があり、上の歯よりも下の歯に先天欠如がある場合が多いです。
永久歯の先天欠如は、歯並びや噛み合わせに悪影響を及ぼす可能性が高いと言われています。
また、先天欠如がある場合は乳歯を永久歯の代わりとして長く使っていくため、乳歯を虫歯にさせない徹底した歯磨きや定期検診による管理が必要となります。
先天欠如があるかどうかを判断する時期は、一般的な永久歯の形成時期を考慮して、7歳以降が目安とされています。
📈定期検診の重要性📉
①目で見てチェック
虫歯の有り無しをチェックする事はもちろん、歯の数や生え方、乳歯のグラグラしている程度、永久歯が生えてくるスペースなどを確認します。
②触ってチェック
正常な場合、乳歯が抜けてしばらくすると歯茎に盛り上がりがみられます。永久歯が歯茎を突き破って出てこようとするサインです。 このサインがあるかどうか触って確かめます。
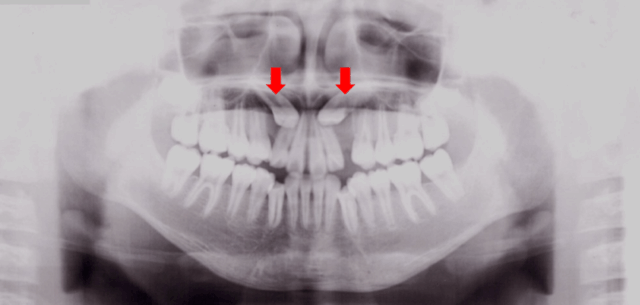
③レントゲン検査

疑わしい箇所にレントゲン検査を行い、歯茎の中で起きていることを確認します。
6歳を過ぎたら1度、パノラマレントゲン(お口全体の写真)による検査をオススメします。
肉眼では問題がないように見えても、歯茎の中で犬歯が隣の歯の根にあたっています。
レントゲン検査で、このような問題を早期に発見できます。
最後に…

最近では矯正治療を受ける方が増えているように感じます。
実は大人になった時の歯並びや噛み合わせの問題は、生え変わり時期のトラブルが直結している事が多いといわれています。
つまり、歯並びの問題は永久歯が出てきたときにサインが出ているのです。
しかも、永久歯列の完成とともに問題は大きくなっていきます。
歯並びが悪ければセルフケアが難しくなり、歯周病が悪化することにも繋がっていきます。
一生涯使っていくお口ですので、できれば問題が小さいうちに改善しておきたいものですよね。
それを可能にさせるのが、定期検診による早期発見・対応なのです。
些細なことでも生え変わりなどで気になることがあれば、お気軽にご相談下さい!
神奈川県鎌倉市梶原2-34-23 ⇒地図/アクセスはこちら
0467-38-5585
【診療時間】
平日:9:00~13:00 / 14:30~18:30
土曜:9:00~13:00 / 14:00~17:00
※休診日:水曜・日曜・祝日

