-
ブログ
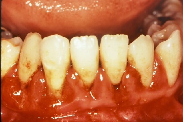
気になるその口臭 ❗️ 原因は歯周病かもしれません‼️
こんにちは、かじわら歯科クリニックです。
今回は皆さんが気にする口臭についてのお話です。
口臭がするということは、ガスが発生している証拠ですが、揮発性硫黄化合物(VSC)と呼ばれるガスが重要で、これは細菌が作り出すガスです。
細菌は白血球や上皮の死骸などから得たタンパク質を材料にVSCを作ります。
歯周病では炎症にともなって、その材料や細菌が増えますので、VSCが増量します。
しかも、歯周病ではメチオニンというアミノ酸から作られるメチルメルカプタンというVSCが多く、腐った玉ねぎのような非常に強い悪臭を持っているのが特徴です。

歯周病以外の口臭の原因
・舌の表面に残っている舌苔(細菌の塊)もVSCの発生場所です。
舌は面積が広いので、ガスが発生しやすいです。そのため、口臭が気になる時には舌の清掃もオススメです。

・お口の中が乾燥すると、口臭が強くなります。
水分補給やガムなどを噛んで、唾液の分泌を促進することで改善につながります。🚰
・内臓疾患に伴う口臭はよく知られていますが、周知されている割には、かなり少数です。
・生理的な口臭というのもあります。
VSCも発生はしていますが、問題はありません。こういった場合には、経過観察で様子をみていきます。
・仮性口臭症というのもあって、これは実際に口臭がないにもかかわらず気になるというものです。
最近口臭が気になると感じている方や、家族の口臭が気になる等ありましたら、歯周病が原因のことが多いのでお気軽にご相談下さい!
神奈川県鎌倉市梶原2-34-23 ⇒地図/アクセスはこちら
0467-38-5585
【診療時間】
平日:9:00~13:00 / 14:30~18:30
土曜:9:00~13:00 / 14:00~17:00
※休診日:水曜・日曜・祝日

